Menu
فلسطين - غزة °-18 °-18
تردد القناة 10873 v
بنر أعلى الأخبار

علامات لسرطان الرئة يمكن رؤيتها على الوجه!

64cbbbd04c59b770ac5285ec.png
قناة فلسطين اليوم - وكالات

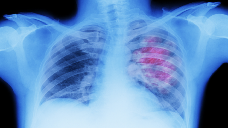
حذر خبراء من أن تورم الوجه قد يكون علامة رئيسية على الإصابة بسرطان الرئة.

ويمكن أن يحدث تورم الوجه، على الرغم من أن هذا السبب أقل شهرة، عندما يمارس الورم ضغطا على الوريد الأجوف العلوي (SVC)، الذي يربط الرأس بالقلب. وتجعل الجدران الرقيقة لهذا الوريد الحيوي عرضة للضغط.

ووفقا لـ Macmillan Cancer Support، فإن معظم حالات انسداد الوريد الأجوف العلوي (SVCO) ناتجة عن سرطان الرئة.

ويقولون: "معظم حالات SVCO (انسداد الوريد الأجوف العلوي) ناتجة عن سرطان الرئة. قد يضغط السرطان مباشرة على SVC. أو قد ينتشر إلى الغدد الليمفاوية القريبة، والتي تصبح منتفخة. وهناك أسباب أخرى محتملة: سرطانات أخرى تصيب الغدد الليمفاوية في الصدر. وتشمل هذه الأورامَ اللمفاوية وسرطانَ الخصية والثدي والأمعاء والمريء. فتتشكل جلطة دموية في الوريد وتعوق تدفق الدم. يمكن أن يحدث هذا إذا كان لديك (خط مركزي) في الوريد - على سبيل المثال، لإعطائك علاجا كيميائيا".

وبالإضافة إلى تورم الوجه، قد يعاني الأفراد أيضا من تورم في الرقبة والذراعين وأعلى الصدر بسبب ضغط الوريد. وقد تشمل الأعراض المصاحبة الأخرى ضيق التنفس، أو الصداع، أو تغيرات في البصر، أو ظهور أوردة زرقاء على الصدر، أو الدوخة.

ويسلط موقع NHS الإلكتروني الضوء على أن سرطان الرئة نادر الحدوث لدى من تقل أعمارهم عن 40 عاما، ويؤثر في الغالب على كبار السن. 

وفي حين أن غير المدخنين يمكن أن يصابوا بسرطان الرئة، فإن التدخين هو السبب الرئيسي، حيث يمثل أكثر من 70% من الحالات. ويساهم الاستنشاق المنتظم للمواد السامة المختلفة من خلال التدخين في زيادة المخاطر.

وبالنسبة للمدخنين، يعد الإقلاع عن هذه العادة خطوة حاسمة في تقليل فرص الإصابة بسرطان الرئة.

المصدر: إكسبريس