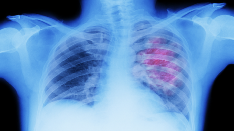
كشف خبراء أن المرضى المصابين بنوع قاتل من سرطان الرئة سيستفيدون من دواء يُعتبر أكبر اختراق علاجي منذ عقود.
ويعرف Sotorasib بأنه قرص يومي ثبت أنه يقلص الأورام لدى نصف المرضى المصابين بسرطان الرئة المتقدم غير الناتج عن التدخين. وهذا النوع، الذي يصيب واحدا من كل ثمانية مصابين بسرطان الرئة، ناتج عن طفرة في الجين المعروف باسم KRAS. وهو شكل مميت من السرطان بشكل خاص، حيث لا تكون العلاجات الحالية فعالة إلا في حوالي 10% من المصابين به.
وفي الجسم السليم، يتحكم جين KRAS في البروتينات التي تلعب دورا في نمو الخلايا الطبيعي. لكن جينات KRAS المحورة تسمح للبروتينات بتوجيه الخلايا إلى النمو خارج نطاق السيطرة، ما يتسبب في سرطان يصعب علاجه.
وهذه هي قوة الجين المتحور المسببة للسرطان التي وصفها الأطباء بأنها "نجمة الموت" للسرطان.
ويمكن أيضا العثور على الطفرة نفسها في بعض حالات سرطان البنكرياس والأمعاء، ما يرفع الآمال في أن يتمكن Sotorasib من مساعدة المزيد من المرضى في المستقبل.
ويقول البروفيسور تشارلز سوانتون، الخبير في علم الوراثة وسرطان الرئة في معهد كريك بلندن، إن هذا الدواء هو أحد أكثر الاكتشافات إثارة في مجال سرطان الرئة منذ 20 عاما.
ويعتبر التدخين، أو وجود تاريخ حديث للتدخين، السبب الأكبر إلى حد بعيد لسرطان الرئة، لكن المرض يمكن أن يصيب أولئك الذين ربما لم يسبق لهم أن لمسوا سيجارة.
وفي الثمانينيات، حدد العلماء لأول مرة أن نسبة كبيرة من هذه الحالات كانت ناجمة عن شكل متحور من جين KRAS، لكن حل لغز كيفية مكافحة هذا العيب استغرق عقودا من البحث المكثف.
ويعمل Sotorasib، المعروف أيضا باسم العلامة التجارية Lumykras، عن طريق منع عمل البروتينات التي تؤدي إلى نمو الخلايا السرطانية. وهذا يساعد على إيقاف أو على الأقل إبطاء انتشاره.

