نجح أطباء استراليون في استخراج دودوة إفريقية بطول متر مستقرة في قدم رجل سوداني مقيم في استراليا ، ظلت تتغذى على لحمه لمدة تزيد عن 4 سنوات
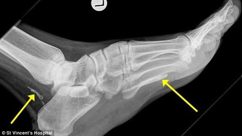
وأفادت صحيفة "سيدني مورننغ هيرالد" ان الرجل البالغ من العمر 38 سنة، شكا من ألم وتورم في قدمه فتوجه إلى مستشفى في سيدني حيث أجريت له صورة بالأشعة كشفت عن وجود دودة في قدمه.
وتأكد أن الدودة موجودة في قدمه منذ عدة سنوات، ذاك انها من النوع الذي يعيش في السودان وليست موجودة في أستراليا التي هاجر إليها قبل أكثر من 4 سنوات.
ويذكر أن هذا النوع من الديدان يعيش في جنوب السودان وأثيوبيا وغانا وتشاد.

