غزت مئات الديدان الشريطية جسم رجل صيني، إثر تناول وجبة من أغلى أنواع السوشي، أو ما يعرف بـ"الساشيمي"، التي يبدو أنها كانت ملوثة
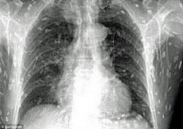
وأفاد موقع "شاينا توبيكس" الصيني أن رجلاً من مقاطعة غوانغدونغ في جنوب شرق الصين، كان يشكو من ألم في المعدة وتحسس في جلده، فذهب إلى الطبيب ليتلقى صدمة حياته إذ أثبتت الصور بالأشعة أن الديدان الشريطية تغزو مختلف أنحاء جسمه
وأشارت إلى أنه يعتقد أن الديدان انتشرت في جسم هذا الرجل، إثر تناوله من طبق محبب إلى قلبه هو طبق "ساشيمي" ملوث، الذي يعد من أفخر أنواع "السوشي"
ونقل عن أحد الأطباء قوله إن الرجل يتلقى العلاج المناسب، مشيراً إلى أن تناول طعام غير مطبوخ ملوث ببيض الديدان الشريطية قد يقود إلى حالة صحية تهدد الحياة، إذا دخلت هذه الديدان في مجرى الدم ووصلت إلى الدماغ
ويتوقع أن يتعافى الرجل المصاب، الذي لم يكشف عن اسمه
يشار إلى أن في الساشيمي أسماكاً نيئة، ويعدّ من أغلى وألذ أنواع السوشي في العالم

